
3歳からできるマイオキッズ矯正
世界100カ国で国際特許取得
の小児矯正治療
マイオキッズ
小児矯正


3歳からできるマイオキッズ矯正
世界100カ国で国際特許取得
の小児矯正治療
マイオキッズ
小児矯正

汐入駅より徒歩1分
無料の地下駐車場あり
ひろびろ平置き駐車場で安心
Promise
汐入駅前歯科 矯正歯科・小児歯科
”患者様とのお約束”

Promise 01
無料カウンセリングでご契約の話はいたしません。
Promise 02
お母さんやお子様が安心して治療を受けられる治療環境を提供しています。
Promise 03
お子さんの成長を促進し、健全な歯並びを獲得する 筋機能矯正を提供しています。 「歯を抜かない・痛まない、大人のワイヤーを使わない」


Features
汐入駅前歯科 矯正歯科・小児歯科が
”選ばれる8つの理由”

Features 01
累計2,500件の小児矯正治療実績
2000年以来、2,500件以上の小児矯正治療を行いました。
横須賀市で地域に密着した小児矯正ができる歯科医院です。
これまでの経験に基づき、お子様を綺麗な歯並びへと治療いたします。
初めての小児矯正治療で不安が多い方など、当院へお気軽にご相談ください。
Features 01
累計2,500件の小児矯正治療実績

2000年以来、2,500件以上の小児矯正治療を行いました。
横須賀市で地域に密着した小児矯正ができる歯科医院です。
これまでの経験に基づき、お子様を綺麗な歯並びへと治療いたします。
初めての小児矯正治療で不安が多い方など、当院へお気軽にご相談ください。

Features 02
小児矯正に精通した歯科医師が
安心安全を考慮して治療
当院では、小児矯正25年以上の経験がある山口が、治療計画を担当します。
※山口は日テレ「カズレーザーと学ぶ」に小児矯正専門家の講師としてテレビ出演しました。
また、小児矯正の専門的な教育を受けたスタッフが指導いたします。
Features 02
小児矯正に精通した歯科医師が
安心安全を考慮して治療

当院では、小児矯正25年以上の経験がある山口が、治療計画を担当します。
※山口は日テレ「カズレーザーと学ぶ」に小児矯正専門家の講師としてテレビ出演しました。
また、小児矯正の専門的な教育を受けたスタッフが指導いたします。

Features 03
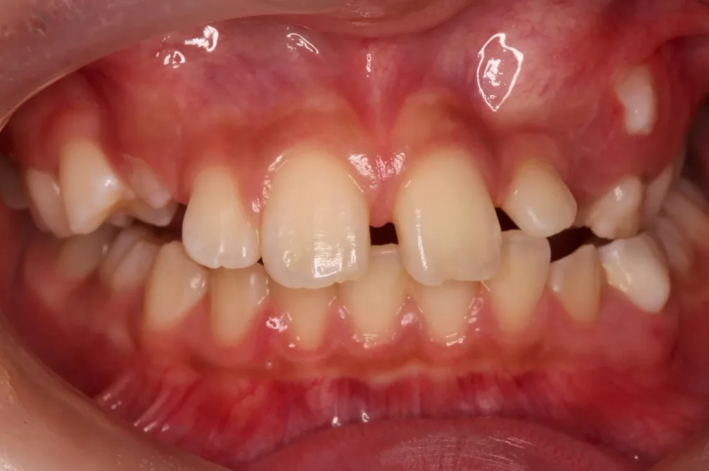
悪習癖を改善し歯戻りが少ない
小児矯正治療が可能
マイオキッズ小児矯正は、鼻呼吸を確立し、正しい舌の動きや正しい口のまわりの筋肉の動きを覚えて正しく機能させることで、顎を正しく成長させて歯並びを改善して行きます。
お口周りの悪習癖を改善することで矯正治療後の歯並びが後戻りしづらくなることやお口周りの筋機能の改善とともにお子さんのお顔も変わり、歯並びも改善していきます。
Features 03
悪習癖を改善し歯戻りが少ない
小児矯正治療が可能

マイオキッズ小児矯正は、鼻呼吸を確立し、正しい舌の動きや正しい口のまわりの筋肉の動きを覚えて正しく機能させることで、顎を正しく成長させて歯並びを改善して行きます。
お口周りの悪習癖を改善することで矯正治療後の歯並びが後戻りしづらくなることやお口周りの筋機能の改善とともにお子さんのお顔も変わり、歯並びも改善していきます。

Features 04
相場の半分48.4万円で矯正治療
ができる(二期治療なし)
通常の小児矯正治療は、乳歯から永久歯に生え変わる時期に行う一期治療と永久歯が生え揃ってから行う二期治療があります。80~100万円の治療費がかかりますが、当院の小児矯正は二期治療なしで48.4万円で治療可能です。
Features 04
相場の半分48.4万円で矯正治療
ができる(二期治療なし)

通常の小児矯正治療は、乳歯から永久歯に生え変わる時期に行う一期治療と永久歯が生え揃ってから行う二期治療があります。80~100万円の治療費がかかりますが、当院の小児矯正は二期治療なしで48.4万円で治療可能です。

Features 05
3歳からできるマイオキッズ矯正
通常の小児矯正治療は、5歳から治療を開始しますが、マイオキッズ矯正は3歳から開始することができます。
従来の小児矯正
1期治療:5歳~12歳
2期治療:12歳(中学生以降)~
マイオキッズ矯正
0期治療:3歳~5歳
1期治療:5歳~12歳
2期治療:なし
Features 05
3歳からできる
マイオキッズ矯正

通常の小児矯正治療は、5歳から治療を開始しますが、マイオキッズ矯正は3歳から開始することができます。
従来の小児矯正
1期治療:5歳~12歳
2期治療:12歳(中学生以降)~
マイオキッズ矯正
0期治療:3歳~5歳
1期治療:5歳~12歳
2期治療:なし

Features 06
月々7,000円(税込)から
小児矯正治療が可能
詳しくはページ下部の料金プランと初回カウンセリング時にお聞きください。
※自由診療につき公的医療保険適用外
Features 06
月々7,000円(税込)から
小児矯正治療が可能

詳しくはページ下部の料金プランと初回カウンセリング時にお聞きください。
※自由診療につき公的医療保険適用外

Features 07
アクティビティルームや
キッズスペース完備
姿勢改善や呼吸改善などを指導するアクティビティルームを完備しています。
また、キッズスペースもございますので、お子さんと親御さんが安心して通院できる歯科医院です。
Features 07
アクティビティルームや
キッズスペース完備

姿勢改善や呼吸改善などを指導するアクティビティルームを完備しています。
また、キッズスペースもございますので、お子さんと親御さんが安心して通院できる歯科医院です。

Features 08
汐入駅1分
無料駐車場完備
お車でお越しいただく方も安心して通院できるよう無料の地下駐車場を完備しています。
(ベイスクエアパーキング地下駐車場)
平置き駐車場で停めやすく、駐車場からエレベーターでクリニックにお越しいただけます。
そのため、横須賀市、逗子市、三浦市、横浜市からお越しいただいております。
Features 08
汐入駅1分
無料駐車場完備

お車でお越しいただく方も安心して通院できるよう無料の地下駐車場を完備しています。
(ベイスクエアパーキング地下駐車場)
平置き駐車場で停めやすく、駐車場からエレベーターでクリニックにお越しいただけます。
そのため、横須賀市、逗子市、三浦市、横浜市からお越しいただいております。
まずは無料相談に
お越しください
専門の歯科医が丁寧にカウンセリングし、
治療の流れや費用についてもわかりやすく
ご説明いたします。
まずはお気軽にご相談ください。
Topics
小児矯正の
あれこれを理解しよう!
小児矯正治療で綺麗な歯並びを
手に入れるポイントは、
口呼吸を改善し、
『鼻呼吸』を手に入れること
『鼻呼吸』を手に入れること
POINT 01
なぜ鼻呼吸が重要なのか?

口呼吸は正しい鼻呼吸に比べて脳に届く酸素量が10%〜40%も減少すると報告されています。
口呼吸を続けてしまうと、脳に十分な酸素が行き届かず、成長の妨げになってしまいます。
実は、脳の成長と顎の骨、特に上あごの骨(上顎骨)は神経型という成長発育を示し、密接に関係しています。
脳の成長が遅れると、顎の成長が遅れるため、歯並びを悪くする大きな原因となってしまうのです。
POINT 02
その他口呼吸が及ぼす悪影響

口呼吸は歯並びだけでなく
下記の悪影響も与える場合があります。
・鼻づまりがひどい
・1歳~6歳で中耳炎を発症したことがある
・喘息がある
・落ち着きがない、多動である
・寝起きが悪い
・日中の眠気がある
・アトピー性皮膚炎がある
・オムツをなかなか卒業できない
理事長が詳細を動画で解説しています!
Topics
矯正はいつのタイミング
で始めるべき?

POINT 01
Vキッズ:
0期治療(3~5歳)
Vキッズは、下の前歯がまだ乳歯のお子さん向けです。
この時期に大切なのは「睡眠中の呼吸」です。 口呼吸だと浅いレム睡眠が多く、成長ホルモンが十分に分泌されません。 就寝時に「Vキッズ」を装着することで鼻呼吸がしやすくなり、深いノンレム睡眠に入りやすくなります。
結果として、睡眠の質向上や成長ホルモンの分泌、脳と体の発達が促されます。
Vキッズは、睡眠時の呼吸を改善し、脳を育てます。
POINT 01
Vキッズ:
0期治療(3~5歳)

Vキッズは、下の前歯がまだ乳歯のお子さん向けです。
この時期に大切なのは「睡眠中の呼吸」です。 口呼吸だと浅いレム睡眠が多く、成長ホルモンが十分に分泌されません。 就寝時に「Vキッズ」を装着することで鼻呼吸がしやすくなり、深いノンレム睡眠に入りやすくなります。
結果として、睡眠の質向上や成長ホルモンの分泌、脳と体の発達が促されます。
Vキッズは、睡眠時の呼吸を改善し、脳を育てます。

POINT 02
マイオブレース:
1期治療(5歳〜12歳)
マイオブレースは、成長期に合わせてお口の機能を整える矯正です。
鼻呼吸や舌の正しい位置、正しい飲み込みを身につけ、顎の成長を妨げる原因を根本から改善します。遅くとも小学校3年生の夏休みまでに開始するのが理想です。
・口呼吸から鼻呼吸へ改善
・脳への酸素供給力の向上
・正しい舌の位置と嚥下を獲得
・顎の成長を促進し、歯が自然に並ぶスペースを確保
マイオブレースは「正しい発育」を育てる “成長矯正”です。
POINT 02
マイオブレース:
1期治療(5歳〜12歳)

マイオブレースは、成長期に合わせてお口の機能を整える矯正です。
鼻呼吸や舌の正しい位置、正しい飲み込みを身につけ、顎の成長を妨げる原因を根本から改善します。遅くとも小学校3年生の夏休みまでに開始するのが理想です。
・口呼吸から鼻呼吸へ改善
・脳への酸素供給力の向上
・正しい舌の位置と嚥下を獲得
・顎の成長を促進し、歯が自然に並ぶスペースを確保
マイオブレースは「正しい発育」を育てる “成長矯正”です。

POINT 03
インビザライン・ファースト:
1期治療(6歳〜10歳)
インビザラインファーストは、小児用(6~10歳)のインビザライン(透明マウスピース矯正)です。 歯型に合わせたマウスピースを1日20時間装着してもらい、歯を少しずつ動かしていきます。
ただし、これは1期治療にあたります。保定期間を挟み、中学生(12〜13歳頃)から再び2期治療として大人と同じインビザラインで治療を続けます。
つまり、2段階の長期治療が必要になります。
POINT 03
インビザライン・ファースト:
1期治療(6歳〜10歳)

インビザラインファーストは、小児用(6~10歳)のインビザライン(透明マウスピース矯正)です。 歯型に合わせたマウスピースを1日20時間装着してもらい、歯を少しずつ動かしていきます。
ただし、これは1期治療にあたります。保定期間を挟み、中学生(12〜13歳頃)から再び2期治療として大人と同じインビザラインで治療を続けます。
つまり、2段階の長期治療が必要になります。

POINT 04
ワイヤー矯正:
2期治療(12〜13歳以降治療開始)
ワイヤー矯正は、最も一般的な矯正治療です。
顎の成長がほぼ終わったタイミングで開始します。この時点では歯並びは凸凹の状態です。
歯のスペースを確保するために、小さなあごに合わせて永久歯を4本ほど抜歯し、ワイヤーで歯を並べていきます。
見た目を整える効果は高いですが、成長のサポートはできません。
POINT 04
ワイヤー矯正:
2期治療(12〜13歳以降治療開始)

ワイヤー矯正は、最も一般的な矯正治療です。
顎の成長がほぼ終わったタイミングで開始します。この時点では歯並びは凸凹の状態です。
歯のスペースを確保するために、小さなあごに合わせて永久歯を4本ほど抜歯し、ワイヤーで歯を並べていきます。
見た目を整える効果は高いですが、成長のサポートはできません。
費用面や期間も含めて、3~12歳までは、
Vキッズやマイオブレースによる
成長矯正治療をおすすめしています。
Topics
小児矯正治療の
製品や治療法について

マイオブレース(Myobrace)
マイブレース(Myobrace)は、歯を直接動かすワイヤー矯正とは異なり、歯並びを悪くする「原因」から改善する治療法です。
主に成長期のお子さまを対象に、口呼吸・舌の位置・姿勢・嚥下(飲み込み)などの悪習慣をトレーニングによって正すことで、自然な歯並びや顎の発育を促します。
特徴
-
痛み・負担:
-
ワイヤー矯正より少ない
-
見た目 :
-
透明なマウスピースで目立ちにくい
-
取り外し :
-
自分で取り外し可能
-
通院頻度 :
-
月1回ほどの定期チェック
-
メリット :
-
自然な顎の発育促進・
正しい呼吸習慣の確立 -
デメリット:
-
毎日のトレーニングが必要
本人の協力度が重要

アクティビティ
(myobrace ACTIVITIES)
アクティビティとは、お子さんのお顔を輝かせるためのトレーニングです。
このトレーニングをおこなうことで、中顔面(お顔の目から下〜上唇)を構成している上顎骨の成長を正常な状態へと導きます。
アクティビティでは主に以下の4つのトレーニングを行います。
トレーニング内容
- 舌の位置を正常にするトレーニング
- 口呼吸から鼻呼吸にするトレーニング
- 正しい飲み込み方を癖付けするトレーニング
- 正しい姿勢にするトレーニング

プレオルソ(筋機能矯正装置)
プレオルソ矯正とは、マウスピースを使ってお口周りの筋肉や舌の使い方を整え、歯並びや噛み合わせを改善する小児矯正です。
口呼吸や舌のクセなど歯並びを乱す原因を根本から改善します。

インビザラインファースト
インビザライン・ファーストは、6〜10歳の成長期の子どもを対象としたマウスピース型の矯正装置です。
専用の透明マウスピースを定期的に交換しながら、歯を少しずつ理想の位置へ移動させていく仕組みで、「見た目が目立たず」「痛みが少なく」「取り外しができる」という特徴があります。
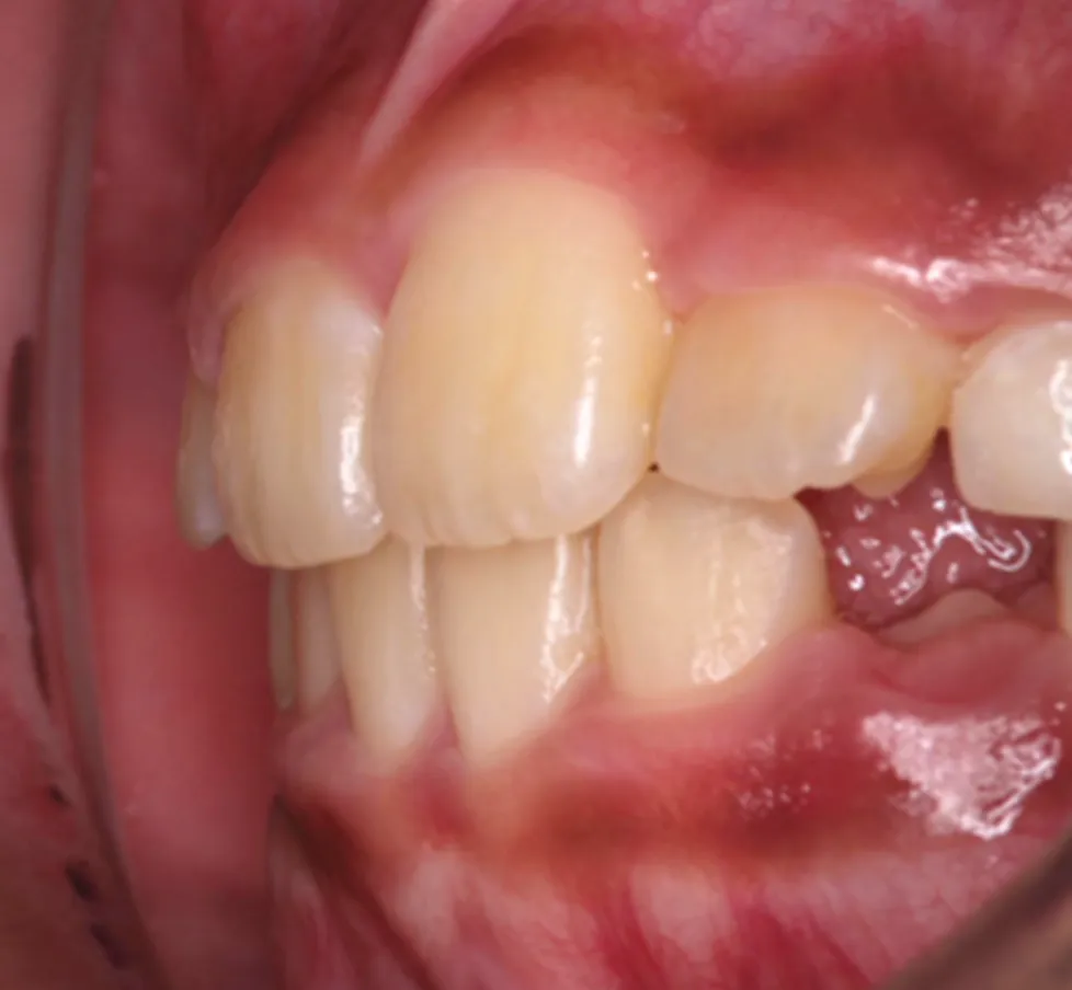
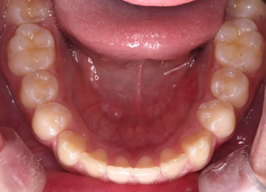
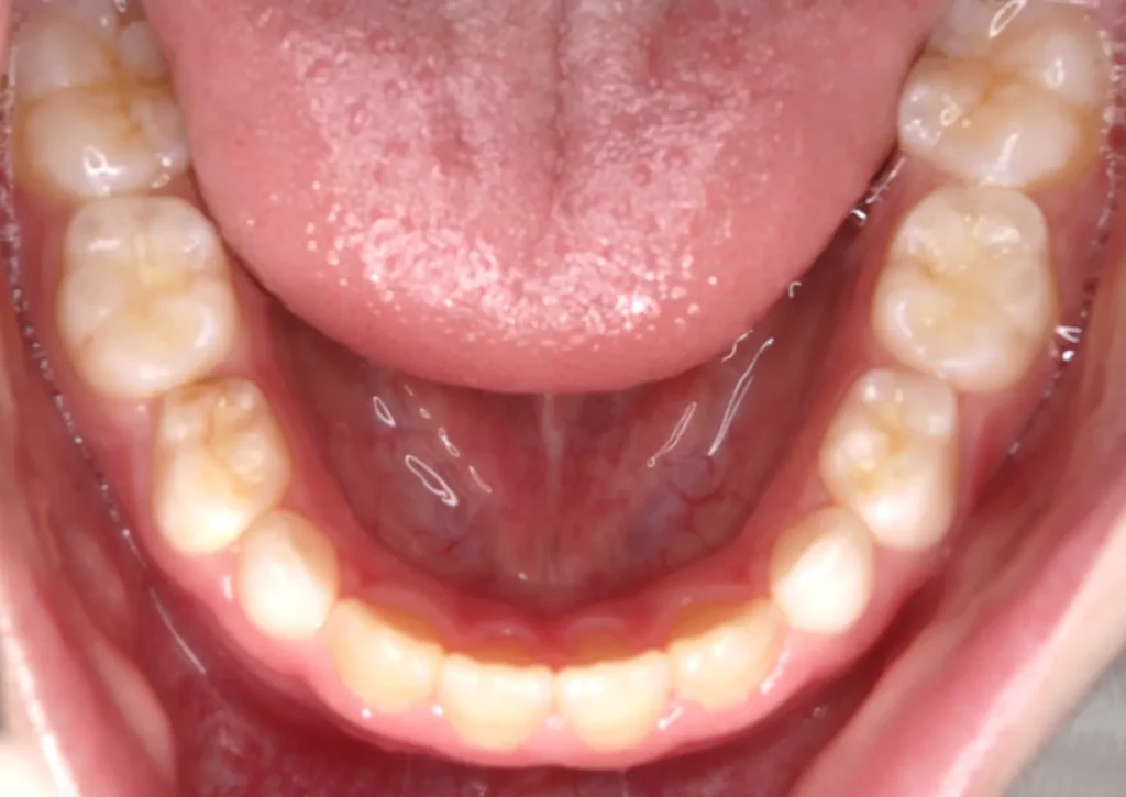
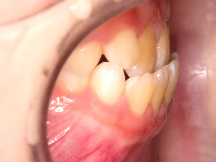
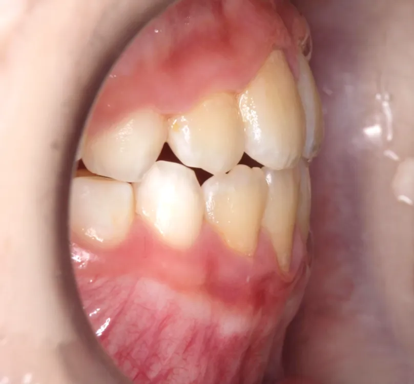
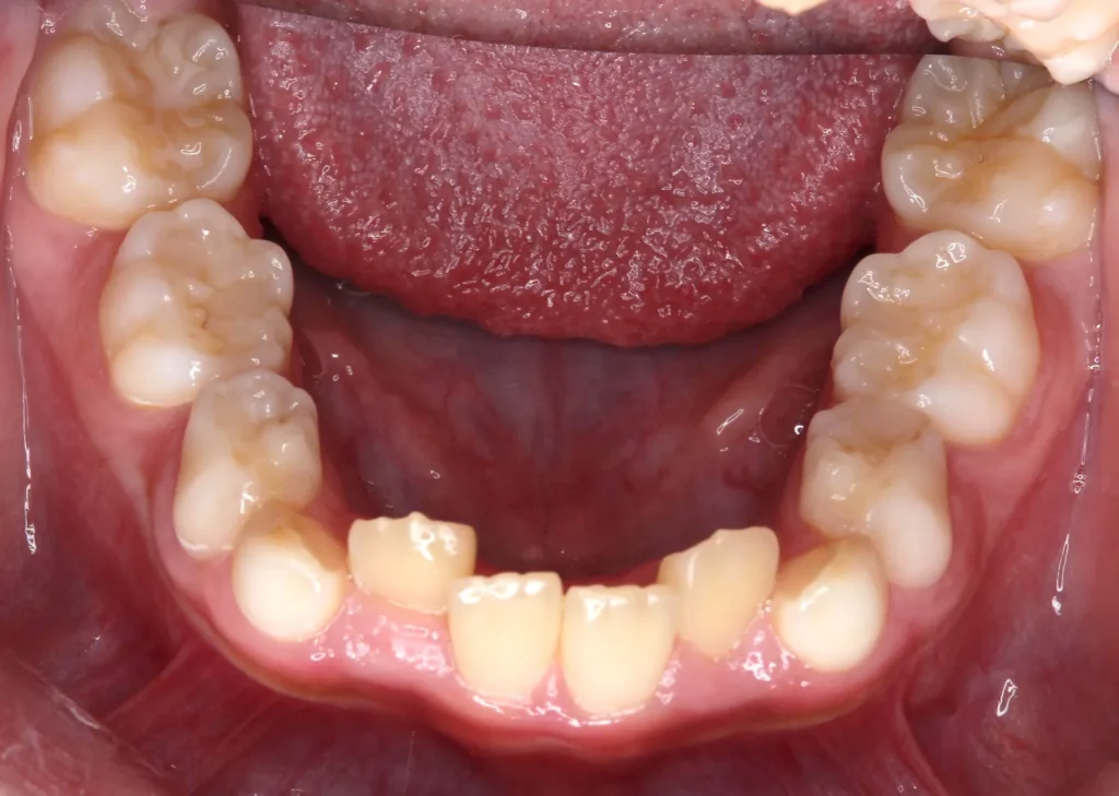
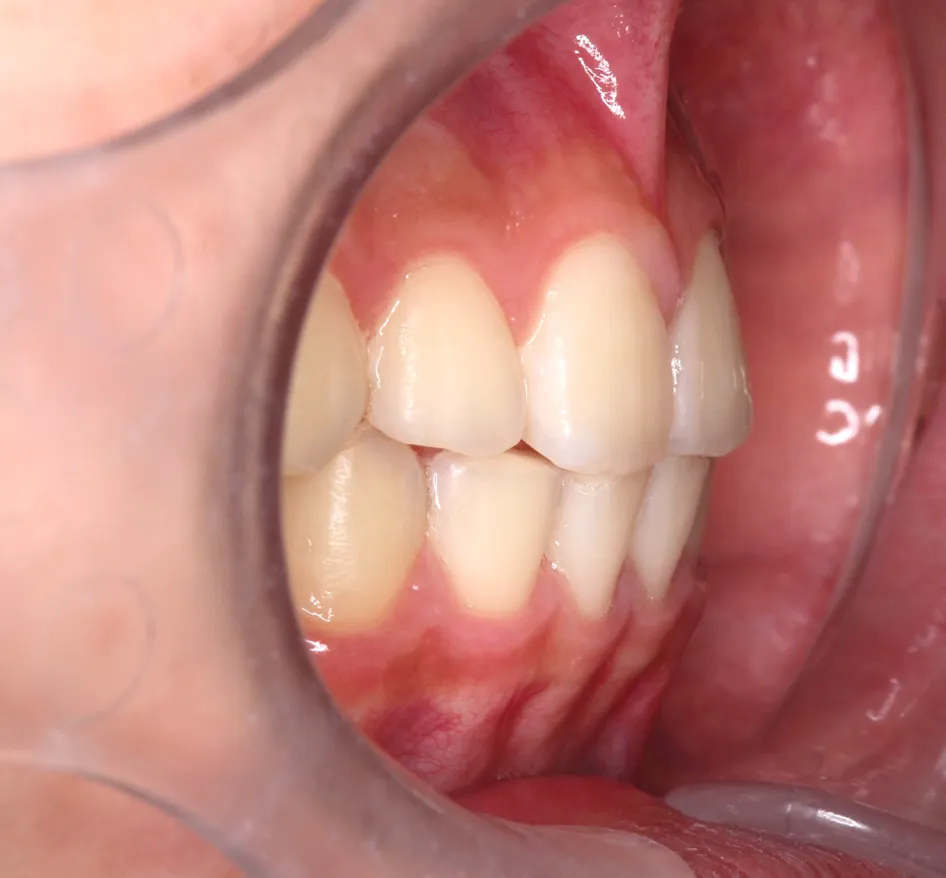
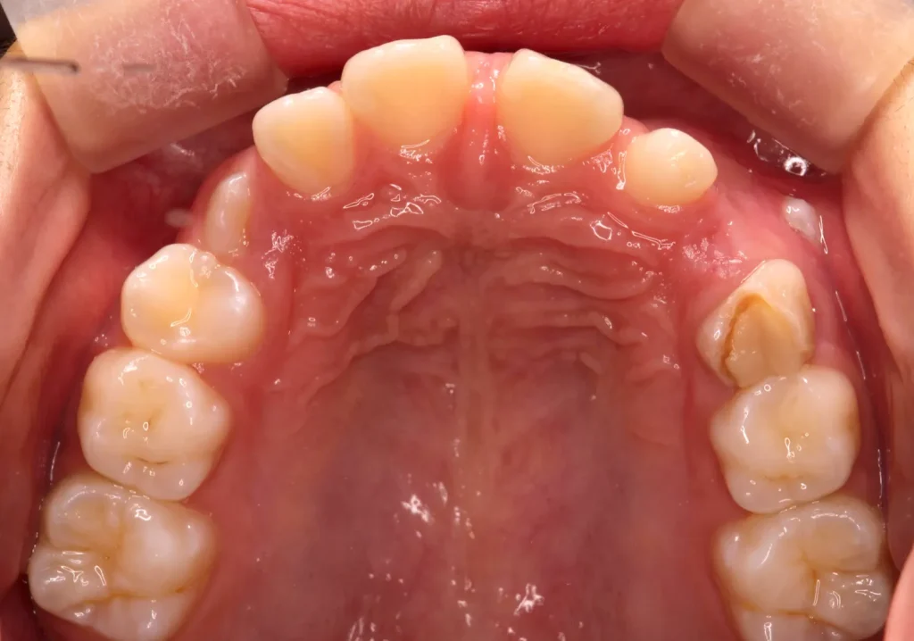
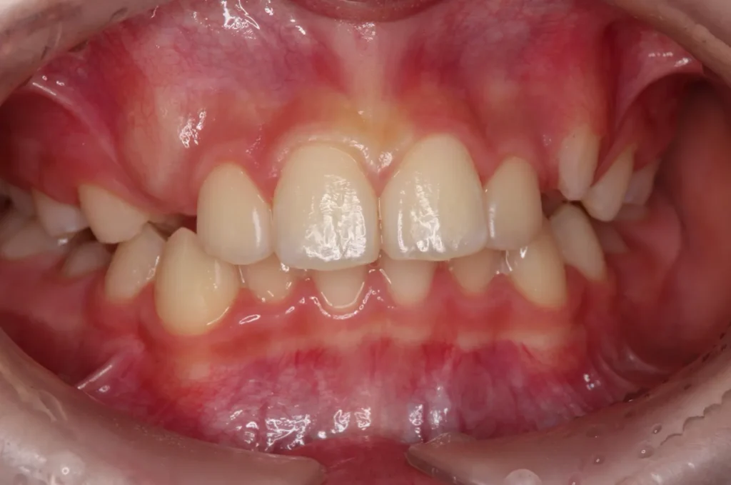
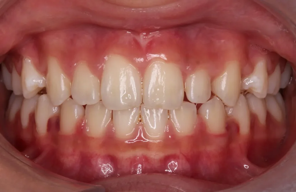
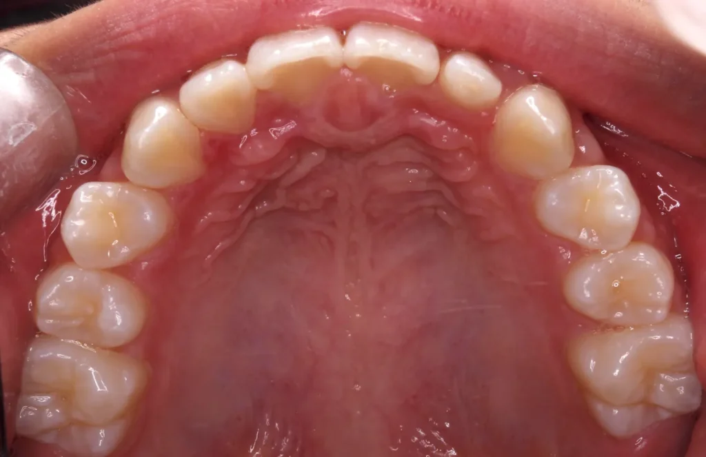
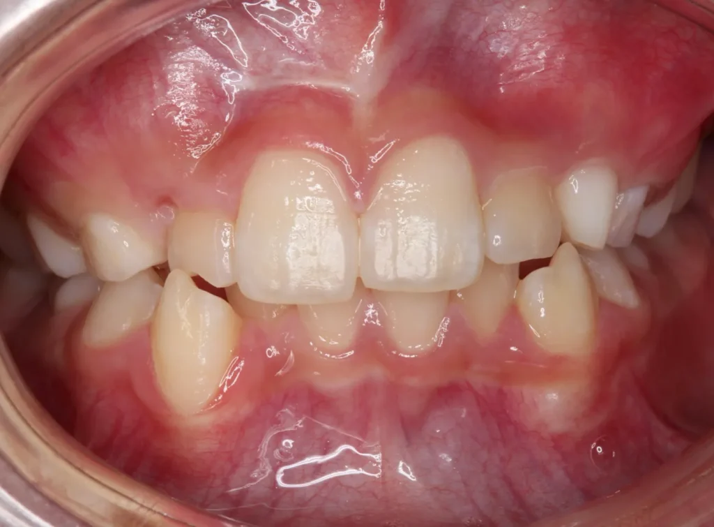
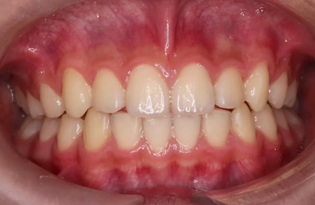
Case
汐入駅前歯科 矯正歯科・小児歯科の
”矯正治療実績”
累計2500件の矯正治療実績から
キレイな歯並びになるために最適な治療をいたします。
-
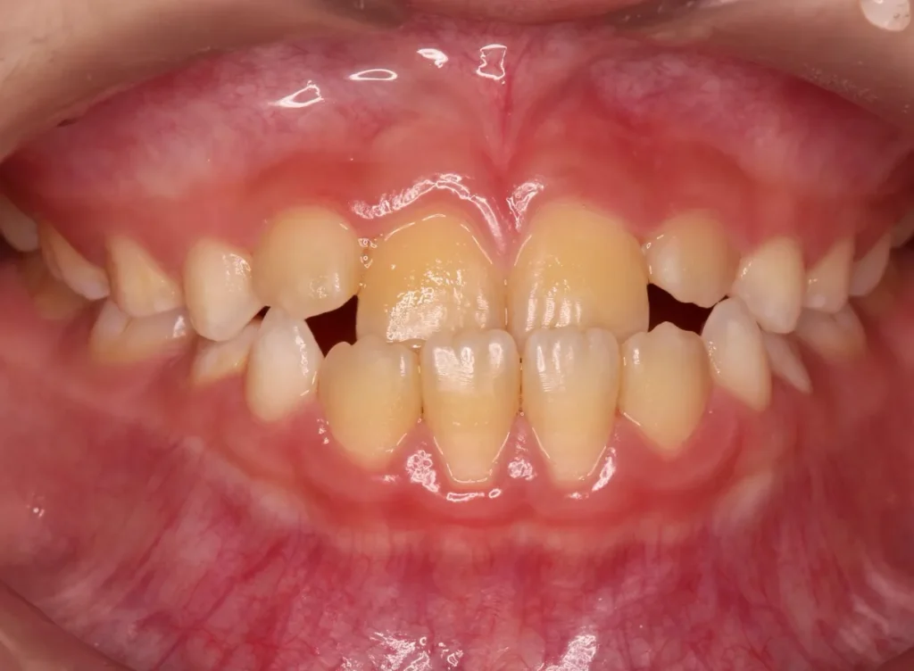
主 訴
出っ歯、前歯のデコボコ を治してあげたい。
治療方法
マイオブレイス+成長スイッチトレーニング
抜歯有無
抜歯なし
治療期間
1年10か月
費 用
440,000円(税込)
-
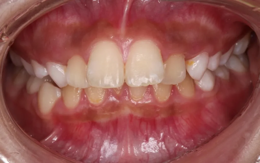
主 訴
受け口と上の前歯の デコボコを治してあげたい。
治療方法
マイオブレイス+成長スイッチトレーニング
抜歯有無
抜歯なし
治療期間
5か月
費 用
440,000円(税込)
-
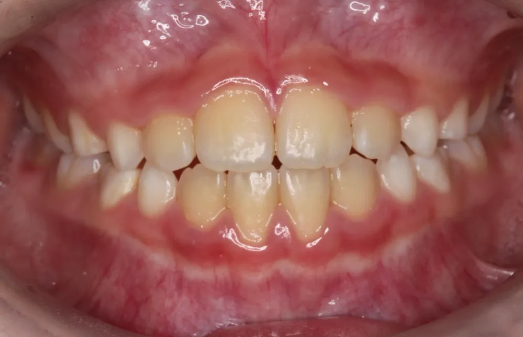
主 訴
娘の前歯のねじれとデコボコ を治してげたい。
治療方法
マイオブレイス+成長スイッチトレーニング
抜歯有無
抜歯なし
治療期間
1年9か月
費 用
440,000円(税込)
-
主 訴
中学受験があるので八重歯 と出っ歯、前歯のデコボコ を治してあげたい。
治療方法
マイオブレイス+成長スイッチトレーニング
抜歯有無
抜歯なし
治療期間
1年11か月
費 用
440,000円(税込)
-
主 訴
右上の犬歯が入るスペースがないので中学に入ったら抜歯矯正が必要といわれた。できれば抜きたくない。
治療方法
マイオブレイス+成長スイッチトレーニング
抜歯有無
抜歯なし
治療期間
2年4か月
費 用
440,000円(税込)
-
主 訴
左上2番目の上に3番目 の歯が生えてきそう。 八重歯にしたくない。
治療方法
マイオブレイス+成長スイッチトレーニング
抜歯有無
抜歯なし
治療期間
2年9か月
費 用
440,000円(税込)
まずは無料相談に
お越しください
専門の歯科医が丁寧にカウンセリングし、
治療の流れや費用についてもわかりやすく
ご説明いたします。
まずはお気軽にご相談ください。
Price
汐入駅前歯科 矯正歯科・小児歯科の
”矯正治療の料金表”
料金表
子供の矯正
-
初回相談
- レントゲン撮影が必要な場合は別途料金がかかります -
0円
-
初回相談
0円 -
- レントゲン撮影が必要な場合は別途料金がかかります -
精密検査診断
-
0円
-
マイオブレース矯正
-
484,000円
-
GST指導(Growth Switch Training)
- 月2回分の費用となります(1回あたり2,200円) -
4,400円
-
GST指導
(Growth Switch Training)4,400円 -
- 月2回分の費用となります(1回あたり2,200円)
支払い方法
- 現金払い・お振込
- クレジット払い:各種クレジットカードでのお支払いが可能です。
- デンタルローン:デンタルローンの詳細に関してはカウンセリング時にお伝えいたします。

1. 現金払い
2. クレジット払い:各種クレジットカードでのお支払いが可能です。

3. デンタルローン:デンタルローンの詳細に関しては
カウンセリング時にお伝えいたします。
金利はお客様のご状況に応じて変わります。
下記の金額は、金利3.2%の参考例となります。
金利はお客様のご状況に応じて変わります。
下記の金額は、金利3.2%の参考例となります。
| 回数 | 12回 | 24回 | 36回 | 48回 | 60回 | 72回 | 84回 | 96回 | 108回 | 120回 |
484,000円の場合(月額支払い費用) | 41,036円 | 20,846円 | 14,118円 | 10,756円 | 8,740円 | 7,397円 | 6,439円 | 5,721円 | 5,164円 | 4,718円 |
| 回数 | 484,000円の場合(月額支払い費用) |
| 12回 | 41,036円 |
| 24回 | 20,846円 |
| 36回 | 14,118円 |
| 48回 | 10,756円 |
| 60回 | 8,740円 |
| 72回 | 7,397円 |
| 84回 | 6,439円 |
| 96回 | 5,721円 |
| 108回 | 5,164円 |
| 120回 | 4,718円 |
医療費控除について
医療費控除とは、その年の1月1日から12月31日までの間に患者様本人、または家族全員の1年間の医療費の合計が10万円を超えた場合に一定の金額が還付される制度です。
確定申告することで還付金を受け取ることができます。
治療費が484,000円の場合
所得額(万円) | 250 | 300 | 400 | 500 | 600 | 700 | 800 | 900 | 1000 |
返還金額 (還付金+減税額) | 76,800円(38,400+38,400) | 76,800円(38,400+38,400) | 115,200円(76,800+ | 115,200円(76,800+ | 115,200円(76,800+ | 126,720円(88,320+ | 126,720円(88,320+ | 126,720円(88,320+ | 165,120円(126,720+ |
| 所得額 (万円) | 返還金額 (還付金+減税額) |
| 250 | 76,800円 (38,400+38,400) |
| 300 | 76,800円 (38,400+38,400) |
| 400 | 115,200円 (76,800+38,400) |
| 500 | 115,200円 (76,800+38,400) |
| 600 | 115,200円 (76,800+38,400) |
| 700 | 126,720円 (88,320+38,400) |
| 800 | 126,720円 (88,320+38,400) |
| 900 | 126,720円 (88,320+38,400) |
| 1000 | 165,120円 (126,720+38,400) |
Flow
汐入駅前歯科 矯正歯科・小児歯科の
”矯正治療の流れ”
01
ご予約・問い合わせ
お電話・ご予約フォームからご連絡ください。
初回カウンセリングや検査をしていただく日時をご予約いただきます。

02
無料歯ならびカウンセリング
(30分)
お口全体のレントゲン検査(無料)でお子さんの歯並びがどうなるか?診断いたします。
治療についてお子さんにも丁寧にご説明します。

03
ご契約・治療開始
治療方法にご承諾いただき治療開始となります。
虫歯治療が必要な場合も矯正治療しながら治療が可能です。

04
治療期間
オンラインで月2回、GST指導をいたします。
ご家庭では専用の動画を見ながら1日5分間GSTを行っていただきます。
お子様にあったマウスピースもご使用いただきます。
3か月に一度、ご来院頂きます。
(治療期間中、毎月ご来院頂く場合もございます。)

クリニック公式サイトを開く
-
医院名
-
汐入駅前歯科 矯正歯科・小児歯科
-
住所
-
〒238-0041
神奈川県横須賀市本町3丁目27
ベイスクエアよこすか一番館 2F -
アクセス
-
【車でご来院の場合】
・横浜横須賀道路
横須賀インターから5分
【交通機関でご来院の場合】
・京急線 汐入駅徒歩2分
・JR横須賀線 横須賀駅徒歩8分 -
駐車場
-
【無料】
ベイスクエアパーキング地下駐車場
〒238-0041 神奈川県横須賀市本町3丁目2

Doctor
汐入駅前歯科 矯正歯科・小児歯科の
”院長紹介”

汐入駅前歯科 矯正歯科・小児歯科
総院長
山口 和巳
診療のモットー
『子供たちの成長の最高の伴走者になる』

汐入駅前歯科 矯正歯科・小児歯科 総院長
山口 和巳
診療のモットー
『子供たちの成長の最高の伴走者になる』
[ 経歴 ]
-
・1991年
-
新潟大学歯学部卒業
-
・1991年~1996年
-
神奈川歯科大学口腔衛生学助手として
虫歯予防研究に従事 -
・1996年~1999年
-
相模原市、横須賀市の歯科医院勤務
-
・1999年
-
汐入駅前歯科 矯正歯科・小児歯科院長
-
・2000年
-
「抜歯をしない小児矯正科」開始
-
・2004年
-
ハーバード大学研修(米国)
-
・2007年
-
マロクリニック研修(ポルトガル)
-
・2009年
-
クリニックを横須賀芸術劇場ビル内に
移転 -
・2013年
-
医療法人社団SED理事長就任
-
・2014年
-
スマイル10 矯正歯科・小児歯科開設
(横浜市) -
・2017年
-
インビザライン矯正認定医
-
・2020年
-
MRC小児矯正認定医
-
・2021年
-
epigenetic年間研修終了
(子供の成長発育) -
・2023年
-
小児矯正創始者Dr.John Mewの
イギリス研修参加 -
・2024年
-
日テレ「カズレーザーと学ぶ」
講師として出演

汐入駅前歯科 矯正歯科・小児歯科
小児矯正ドクター
澤村 瞳哉
[ 経歴 ]
-
・2019年
-
昭和大学歯学部卒業、昭和大学研修医
-
・2020年
-
汐入駅前歯科 矯正歯科・小児歯科勤務
-
・2021年
-
インビザライン矯正認定歯科医師
-
・2022年
-
epigenetic年間研修終了
(子供の成長発育) -
・2025年
-
ペンシルバニア大学大学院
選抜メンバーに合格
まずは無料相談に
お越しください
専門の歯科医が丁寧にカウンセリングし、
治療の流れや費用についてもわかりやすく
ご説明いたします。
まずはお気軽にご相談ください。